
The sensation of feeling taller after putting on new glasses is a fascinating phenomenon that countless spectacle wearers experience, yet few fully understand. This intriguing perceptual shift occurs when your visual system suddenly receives clearer, more accurate information about your…
Read more
Understanding when contraceptive methods become fully effective represents one of the most crucial aspects of reproductive health planning. The effectiveness timeline varies significantly between different contraceptive options, with some providing immediate protection whilst others require several days or even weeks…
Read more
The landscape of vitamin B3 supplementation presents practitioners and consumers with distinct therapeutic options that, whilst sharing fundamental nutritional properties, demonstrate markedly different pharmacological profiles and clinical applications. Two prominent forms of vitamin B3—inositol hexanicotinate and niacinamide—represent sophisticated approaches to…
Read more
The intricate relationship between thyroid function and gastrointestinal health has gained significant attention in recent medical research, particularly concerning acid reflux symptoms. Hypothyroidism, affecting approximately 5% of the population, extends its influence far beyond metabolic regulation, impacting virtually every organ…
Read more
The landscape of topical retinoid therapy has evolved significantly with the introduction of trifarotene (Aklief), marking a new era in acne treatment that challenges the long-standing dominance of tretinoin formulations. While both medications belong to the retinoid family and share…
Read more
The formation of hard, crusty deposits within the nasal passages represents a complex interplay of physiological, environmental, and pathological factors that affect millions of individuals worldwide. These scab-like formations, characterised by their tough, dried consistency and often uncomfortable presence, can…
Read more
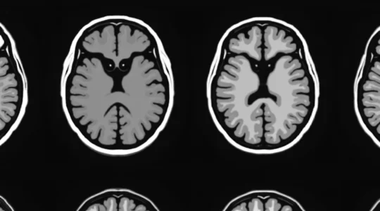
Small black holes appearing on brain MRI scans represent one of the most intriguing yet challenging aspects of neuroimaging interpretation. These hypointense lesions, typically measuring less than 5mm in diameter, can arise from various pathological processes including demyelination, microbleeds, lacunar…
Read more
Forteo (teriparatide) represents a significant advancement in osteoporosis treatment, offering hope for patients at high risk of fracture. This synthetic form of human parathyroid hormone works by stimulating new bone formation and increasing bone mineral density. However, like all medications,…
Read more
Adderall, a prescription stimulant containing amphetamine and dextroamphetamine, has gained significant attention for its unintended weight loss effects beyond its primary therapeutic applications for ADHD and narcolepsy. This amphetamine-based medication affects multiple neurochemical pathways that regulate appetite, metabolism, and energy…
Read more
Hypertrophied anal papillae represent one of the most commonly encountered yet frequently misunderstood conditions in proctological practice. These benign tissue growths, which develop from the natural anatomical structures at the anal margin, affect approximately 50-60% of patients during routine examination….
Read more